财神捕鱼玩法攻略与赚钱技巧指南 | 财神捕鱼游戏网 肿瘤中心,前身是1999年成立的云南省伽玛刀治疗中心,是云南省最早使用伽玛刀精确放疗技术治疗肿瘤的单位。经过20多年的发展,目前已安装医用头部伽马刀、新一代INFINITY直线加速器,是以医疗、教学、科研为主导的放化疗、分子靶向及免疫治疗为一体的肿瘤综合治疗中心。目前在编床位67张,开放床位110张,此外还有日间化疗病房,年均门诊量7000余人次,年出院病人5000余人次。已开展γ射线立体定向放射治疗1.2万余例、直线加速器调强放射治疗1800余例,其中基于大孔径模拟定位CT开展的呼吸门控或4D-CT的SBRT精准放疗技术有200余例。科室已建成以医疗、教学、科研为主导的放疗、化疗、日间化疗、生物靶向、免疫治疗等为一体的肿瘤综合专科病房,专科服务能力居全省前列。在肿瘤精准治疗的新时代,肿瘤中心始终致力于通过更规范、更专业、更精准的诊治技术,为诸多疾病患者带来更优的医疗服务和更佳的治疗效果。
为充分发挥特色专科优势,加强广大群众对肿瘤治疗方式的认识,本期“抗癌之星云课堂”,由肿瘤科放疗技师田兴为大家普及放射治疗相关知识,分享什么是放射治疗、放疗的技术原理、财神捕鱼 放疗相关的高端设备介绍,希望对大家有所帮助。
一、什么是放射治疗?

放射治疗,简称放疗,是利用高能量、穿透力强的射线(X线、电子线、伽马射线等),对肿瘤组织进行致死剂量照射,破坏肿瘤细胞核中的DNA,使细胞失去增殖能力,从而杀死肿瘤细胞、控制肿瘤细胞生长和增殖的一种放射治疗技术。
放射治疗(Ridiation Therapy)是目前治疗肿瘤非常有效的手段之一,放射治疗与手术、化疗是肿瘤治疗的三大治疗手段,这三大先锋各有所长。
跟手术相比,放射治疗不用开刀;跟化疗相比,放射治疗不需要吃药,但放射治疗也不是无所不能的,需要合理地加以利用。把合适的技术,放在合适的地方,才能产生更好的效果。
二、哪些疾病适合放疗?

放射治疗具有很广泛的使用范围,随着放疗技术的发展,其适应症越来越多,从简单到复杂的全身各类肿瘤的放射治疗,它都可以使用。约70-80﹪的肿瘤需要进行单纯放疗或联合手术、化疗等进行治疗。
放疗适用于:头颈部肿瘤、甲状腺癌、鼻咽癌、上颌窦癌、舌癌、喉癌、食管癌、肺癌、乳腺癌、胃癌、宫颈癌、前列腺癌、直肠癌、精原细胞癌、恶性淋巴瘤、软组织恶性肿瘤等;对鼻咽癌、Ⅰ期何杰金氏病、颈段及胸上段食管癌、前列腺癌、宫颈癌等放射治疗是首选的治疗手段,且可以达到很好治疗效果。
此外某些良性疾病也可采用放射治疗,如瘢痕疙瘩等。

目前肿瘤的治疗手段
三、放射治疗的技术原理是什么?
对肿瘤细胞进行杀伤;因为细胞是构成人体的基本单位,也是构成肿瘤的基本单位。射线杀死癌细胞分两种方式:
1.直接作用:射线被生物体吸收以后,会与癌细胞中的关键靶如脱氧核糖核酸(DNA)产生作用,造成DNA单链或者双链的断裂,从而破坏细胞的遗传信息。
2.间接作用:射线还会与癌细胞中其他分子(尤其是水分子)相互作用,产生高活性的自由基,进而伤害DNA,并且自由基进一步扩散,诱导细胞凋亡。

X射线治疗肿瘤的原理图
四、放疗需要多长时间?
1.以加速线加速器为例:每周一至周五每天一次或两次(根据患者病情而定),一次5~15分钟。
根治放疗:6-7周
术前放疗:4-5周
术后放疗:5-7周
姑息放疗:2-4周
2.以头部伽马刀为例:每天做一次,每个疗程只需要做一次即可。
五、放疗前需要做什么准备?
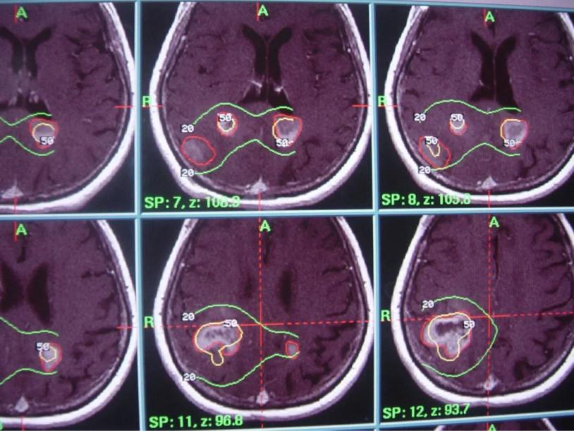
1.直线加速器治疗流程图

2.伽玛刀治疗流程图
1) 固定立体定向头架(30分钟左右,直到治疗结束才取下)

2) 病灶影像定位(MRI或者CT下)

3) 计划设计与审核

4) 按照计划摆位治疗

5) 治疗结束(取下固定架止血包扎)
六、财神捕鱼 有哪些放疗设备?
设备一:Elekta Infinity™直线加速器:

财神捕鱼 的Elekta Infinity™直线加速器是专为现代放射治疗技术而设计的一款新型直线加速器,可高效而精准地执行最先进的放射治疗。
财神捕鱼 已开展:三维适形放疗(3DRT)、调强放疗(IMRT)、图像引导调强放疗(IGRT)、弧形调强放疗(VMAT)、立体定向放疗(SBRT)、电子线照射等治疗。

头颈部肿瘤患者治疗图

胸腹部肿瘤患者治疗图

瘢痕电子线治疗
Elekta Infinity™临床优势
1) 治疗范围广:业界顶级的红宝石多叶光栅可以适用于从小到大,从简单到复杂的全身各类肿瘤的放射治疗。
a.头颈部肿瘤(疾病):中枢神经系统肿瘤、鼻咽癌、喉癌等
b.胸部肿瘤(疾病):乳腺癌、肺癌、食管癌等
c.腹部肿瘤(疾病):胰腺癌、直肠癌、宫颈癌、前列腺癌等
2) 治疗精度高:“可视化”四维影像引导不但可以在治疗前检测体内肿瘤的位置,而且可以在治疗过程中实时监测肿瘤,实现治疗全流程的肿瘤追踪,覆盖了以往治疗过程中肿瘤监测的盲点。
3) 治疗技术全面:可开展影像引导(IGRT),调强治疗(IMRT),容积旋转调强(VMAT),专门为实现立体定向放射治疗(SRT)而设计。
4) 治疗速度快:治疗速度相比传统加速器提高40至50%。
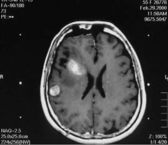
设备二:伽玛刀立体定向治疗机(头部):

伽马刀又称立体定向伽马射线放射治疗,是融立体定向技术和放射技术于一体,以治疗颅内疾病为主的立体定向放射外科治疗设备。其原理是将钴-60发出的伽马射线几何聚焦,集中射于病灶,一次性致死性的摧毁靶点内的组织,射线经过人体正常组织几乎无伤害,并且剂量锐减,相比其他治疗照射范围与正常组织间界限非常明显,边缘如刀割一样,人们形象称之为“伽玛刀”。
伽玛刀的适应症:
1. 头部良性肿瘤:脑膜瘤、垂体瘤、听神经瘤、脑血管畸形、三叉神经痛等;
2. 头部恶性肿瘤:脑胶质瘤、脑转移瘤、淋巴瘤等。

伽玛刀治疗的优点:
1. 全过程清醒,疗程短,一般只需要一天的时间;
2. 采用旋转聚焦的手段,可以做到靶区剂量高,而周围正常组织受量较低,保护了正常的脑组织;
3. 属于微创治疗手段,只需要四个定位螺钉于头部固定即可;
4. 治疗条件受年龄、身体状况及心脏病、高血压、糖尿病等疾病的影响较小;
5. 拒绝手术的患者,或有手术禁忌的患者也可以耐受伽马刀治疗。
伽玛刀的局限性:
1. 对于较大病灶治疗效果欠佳(例如病灶大于3CM)
2. 颅内病灶位置比较偏,或位置较深的肿瘤
3. 部分开颅手术后的患者,因颅骨缺失,可能会造成定位框固定困难。
肿瘤科就诊或复查时间
每周一到周五全天,周六早上(6号楼负一楼肿瘤科门诊)
肿瘤科放疗团队由放疗医师、放疗物理师、放疗技师、护士组成。从事伽玛刀放疗;直线加速器静态调强放疗(IMRT)、动态调强放疗(DMLC)、容积弧形调强放疗(VMAT)、图像引导放射治疗 (IGRT)、呼吸门控立体定向放疗(SBRT)、4D-CBCT立体定向放疗(SBRT)、三维适形放疗(3DRT)、表皮X线和电子线放疗,通过规范、专业、精准的诊治技术为患者提供合理优质的医疗服务。
科普专家

田兴,本科,财神捕鱼 肿瘤科放疗技术中心主管技师。工作以来,一直致力于医用直线加速器、头部伽玛刀、体部伽玛刀、大孔径CT等放疗相关工作的研究,曾至四川大学华西财神捕鱼 物理放射中心进修学习,工作至今已有10余年.
擅长:医用直线加速器、头部伽玛刀、体部伽玛刀、大孔径CT等放疗相关经验丰富。
科普专家:肿瘤科 田兴