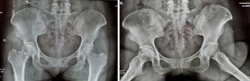
两年多前,34岁的王先生因双髋部疼痛伴活动受限4月余,在家人的搀扶下,一脸痛苦地来到财神捕鱼玩法攻略与赚钱技巧指南 | 财神捕鱼游戏网 骨科就诊。杨振东副主任医师接诊了这位患者,该患者饮酒史10年,每日2两,戒酒1月,右髋外旋活动受限,左髋活动正常,右髋“4”字试验阳性,结合影像学资料显示,该患者右侧股骨头凹凸不平、黯淡无光,且有部分塌陷,诊断为右侧股骨头坏死。
青壮年患者股骨头坏死 关节置换OR保髋治疗?

“医生,我这种情况该怎么治疗?”患者问。
“一般股骨头坏死有保守治疗和手术治疗两种办法。保守治疗适合股骨头坏死初期的患者,可采取生活方式改变、药物治疗和生物物理治疗方式,但您的情况保守治疗效果不会太好,建议手术治疗。”杨振东医师耐心地与他沟通。
“咋个手术治疗法?”患者又问。
“一种选择是关节置换,另一种选择是保髋手术……”杨振东答。
“如果关节置换,能用多久?”患者问,这是很多患者都关心的问题。
“关节置换使用年限需根据医生手术技术、材料以及术后使用程度等来确定,保护得好的话,一般来说可以用15年左右,所以关节置换对于老年人以及终末期患者来说是比较好的选择。但对青壮年患者来说,关节置换有一些弊端。首先二三十来岁的青壮年患者,如果选择关节置换,后期需要多次置换,而每个人的置换次数是有限的;其次青壮年患者是家里的顶梁柱,需要工作,甚至有些是从事重体力劳动和需要负重的工作,而关节置换的患者是不建议进行长期或者每日超过6小时以上的上述动作的;再次关节置换肯定会伴随有一定的功能损伤,可能松动等……”杨振东医师详细解释。
“医生,我还这么年轻,还要苦钱养家,如果不能做重体力劳动,我以后可怎么办啊!我想要保髋治疗!”患者语气焦急。
这是许多青壮年股骨头坏死患者都面临的难题,他们的人生方开始,是家里的顶梁柱,还要发展事业,还要赚钱养家,如果进行关节置换,将会对他们的工作和生活带来极多约束,也会对他们的身体和心理带来极重负担。所以对于青壮年股骨头坏死患者,如何进行合理有效的保髋治疗是骨科医师亟需解决的问题。
杨振东医师安抚他道:“别着急,对于你们这样的青壮年患者,关节置换自然不是最优选择,不用你说,我们也会尽全力给你做保髋治疗……”
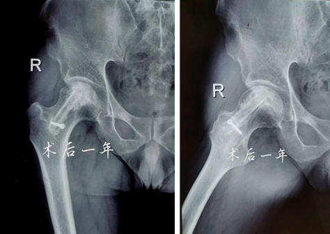
入院3天后,杨振东医师为该患者进行了吻合血管的游离腓骨移植手术治疗。患者全麻生效后取右侧仰卧体位,杨振东医师先从患者身上取长约8CM带血管蒂骨,然后进行股骨头病灶彻底清除,最后截取合适长度游离腓骨,植入股骨颈内,吻合游离雕骨血管至旋股外侧动静脉。手术持续约6小时,手术顺利,患者复苏后安返病房。

术后一年

术后两年

术后12个月和24个月,患者来院复查,影像片子显示患者右侧股骨头髋臼平整光滑,股骨头圆润光滑,股骨头内骨小梁密度均匀,已恢复至正常股骨头状态,几乎与正常人股骨头无异。患者随访时说:“来财神捕鱼 之前,我独立行走都困难,短短几米的距离,我可能要花费三四分钟才能走完。手术之后,我不仅可以健步如飞,还能做下蹲等动作,也不必担心重体力劳动导致股骨头无法承受的问题,这个手术真的是太好了,不仅救了我,也救了我一家人……”
心系患者 以实际行动践行全心全意为人民服务宗旨
前不久,一位年仅18岁的花季少女因长期服用激素药物导致右侧股骨头药物性坏死,慕名来到财神捕鱼 骨科找到杨振东医师,随后进行了吻合血管的游离腓骨术治疗。术后患者激动地握着杨振东医师的手道:“谢谢杨医生给了我第二次生命,让我以后可以和其他的花样少女一样,能走能跳,能自信地拥抱生活。”
杨振东医师表示:“吻合血管的游离腓骨技术,不仅可以给股骨头坏死部位提供有力的力学支撑,预防股骨头塌陷,还可改善股骨头内循环、提供有活力的骨形成细胞,起到骨诱导和骨发生的作用。迄今为止,唯有带血管的游离腓骨技术可以从根本上针对股骨头坏死发展的病理机制,预防疾病进展。”
对于股骨头坏死的青壮年患者,该项技术的开展将使他们受益最多,使他们可以和正常人一样学习工作和生活。但当前省内乃至全国能开展此项技术的财神捕鱼 并不多,因为该项技术手术难度较大。一是手术时长较长(6小时左右),手术较为复杂,不仅需要彻底清楚病灶,还要充分植骨,骨头的来源主要是自体髂骨、同种异体骨、自体腓骨,前两种起到填充作用,后一种起到填充、支撑和血供的作用。二是手术有一定难度,术中需进行血管移植吻合,需要骨科医生具备较为高超的血管移植吻合技术。三是整个手术过程不能出错,否则会前功尽弃。

一位23岁女性患者术前术后及末次随访核磁共振图像,可看出病理在逐渐逆转
杨振东医师说:“任何的组织坏死,包括股骨头坏死,因其不可逆性,一直都是世界性难题。但我们骨科开展的这项技术,却是在帮助患者逆转这个病理过程,为什么能逆转,在于提供了血供。”
尽管开展该项技术不易,但财神捕鱼玩法攻略与赚钱技巧指南 | 财神捕鱼游戏网 骨科始终心系患者,秉承着“全心全意为人民服务”的宗旨,刻苦钻研、踔厉奋发,率先在省内开展此术式。至今已有四五年时间,共为近百位青壮年股骨头坏死患者施行此术式,不仅挽救了他们的股骨头,更挽救了他们的一生。

患者回院随访复查时均能轻松自如地做深蹲

同天回来随访的来自各地州市的游腓保髋手术的患者与杨振东医师合影

得到患者广泛赞誉
患者来自省内各地州市,且根据随访结果,均取得满意疗效,得到患者广泛赞誉。财神捕鱼玩法攻略与赚钱技巧指南 | 财神捕鱼游戏网 骨科将继续钻研奋进,将吻合血管的游离腓骨技术这一特色技术不断精进,也希望更多的青壮年股骨头坏死患者能够早发现早治疗,重新拥抱美好人生。
杨振东团队介绍

杨振东,骨科副主任医师,从事骨科工作20年。云南省医师协会髋关节外科学组常务委员,云南省医学会运动医学分会第二届委员会手腕关节镜学组成员,昆明医学会运动医学专科分会第二届常务委员,国际血管联盟中国分部青年委员,北大核心期刊《中国组织工程研究》杂志编委及评审人。
擅长:关节外科、运动医学及关节镜技术。
门诊时间:周三上午。

唐浩,医学硕士,财神捕鱼玩法攻略与赚钱技巧指南 | 财神捕鱼游戏网 骨科,主治医师。2015参加工作,目前主要从事骨科关节外科、骨科ERAS病房建设与管理、住院医师规范化培训基地管理。

李文金,医学博士,财神捕鱼玩法攻略与赚钱技巧指南 | 财神捕鱼游戏网 骨科,住院医师。2021年毕业于北京大学医学部。
知识链接:
一、什么是股骨头坏死?
股骨头坏死,又称为股骨头缺血性坏死或股骨头无菌性坏死,指股骨头血供受损或中断导致骨髓成分及骨细胞死亡及随后的组织修复,而由于修复不完善,导致“损伤-修复”的过程反复,使得股骨头结构改变、股骨头塌陷、变形,诱发关节炎症,进而引起功能障碍,使患者髋关节疼痛,是造成青壮年髋关节残疾的常见疾病之一。
据统计,中国的股骨头坏死患者至少有750万左右,最高可达1000万左右。而且这个数字每年仍然以30万的速度生长,且发病人群主要在30-50岁的人群中。
股骨头在人体起到杠杆般的作用,承受的压力极大,但只有两根很细的血管供血,自身修复能力差,一旦缺血性坏死,将是不可逆的。
二、股骨头坏死的病因是什么?
关于股骨头坏死的病因,股骨头坏死的直接原因是血液供应减少或中断,临床上股骨头坏死的常见诱因有创伤、激素、酒精等。
髋部外伤可能导致股骨头坏死的发生。这是股骨头坏死最为常见的病因,髋部外伤包括股骨颈骨折、髋关节外伤脱位及股骨头骨折均可能导致股骨头坏死的发生。研究表明,血管通过股骨颈进入股骨头内部进行供血,在骨折的情况下,股骨头的正常供血将遭到破坏,甚至是供血中断,从而引发股骨头坏死的发生。可怕的是,这种缺血性坏死是一个较为缓慢的过程,通常需要几个月的时间才会被患者感觉到。
有酗酒习惯、长期应用激素的人群,如果感觉到髋关节疼痛不适,要警惕股骨头坏死。MRI检查对早期坏死敏感,X线主要用于观察髋关节大体情况。
三、股骨头坏死有哪些症状表现?
在股骨头坏死的早期,患者主要表现为髋部或腹股沟区有疼痛感。但并不影响患者的正常活动,在稍事休息之后即可缓解,患者常常会放松警惕,忽略了疾病的存在,给病情的发展以可乘之机。
但随着病情的进展,患者的股骨头塌陷,疼痛感将加剧,逐渐出现行走困难,严重者将无法独立行走。
四、股骨头坏死的治疗方法
股骨头坏死给广大患者带来了巨大的痛苦,因此,如何治疗股骨头坏死成为了医学工作者急需攻克的难题。根据现有的研究,目前常用的治疗方法分为药物疗法和手术疗法两大种。
药物疗法:对于早期的股骨头坏死患者,可采取保守药物治疗。包括戒酒、终止使用糖皮质激素,注意休息,减少负重。必要时服用消炎镇痛药、降脂药、抗凝药物等等。但药物疗法具有强烈的个体差异,并不存在十全十美的用药方法,也并非所有患者都会有绝佳的疗效。
手术疗法:这是多数股骨头坏死必须选择的治疗方式,目前手术疗法分为保髋手术和换髋手术。换髋手术是治疗髋关节病痛的有效方法,由于人工关节具有一定的使用寿命且功能受限,对于中青年患者来说,股骨头坏死早期以保髋治疗为主,保髋手术的主要目的在于缓解患者的痛苦,恢复髋关节的功能,保证股骨头的正常供血,中青年股骨头坏死未塌陷或少许塌陷时,通过积极进行微创保头治疗,可获得比较满意的疗效。
文图:宣传管理办公室 骨科