在财神捕鱼 的大力支持下,放射科经过前期的机房改造,顺利在5月底面向临床科室正式投入使用了一台西门子高端CT,标志着财神捕鱼 在医疗硬件建设上又迈出了坚实的一步,助力财神捕鱼 高质量发展。此设备既是双源CT又是能量CT,不仅填补了财神捕鱼 没有双源CT的空缺,而且还能在能谱成像领域发挥巨大价值;不仅能满足临床现有的检查需求,还能提升影像精准诊断;不仅能面向临床开展新技术,还能加强与临床各科室科研合作。

80–90keV VMI能区分正常和梗死脑实质
该高端CT在国内外具有先进的技术特点,主要体现在:时间分辨力成倍提升;发明了心脏前瞻性螺旋扫描模式;开创了超级炫速扫描模式;能谱纯化技术创新应用;大范围动态灌注与4D CTA成像。该设备目前在脑卒中、胸痛(冠脉、心肌病变)、创伤(骨骼、骨髓病变)、小儿胸部扫描(自由呼吸)、心脏成像、抑制内固定金属伪影、非钙化性胆结石检出、淋巴瘤和淋巴结转移的鉴别、化疗栓塞后疗效评估、尿路结石定性分析、乳腺假体评估等方面优势显著。

双能量CT有助于闭塞性颈动脉支架术后抗血小板方案选择

双能量骨髓水肿:舟状骨

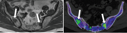
评估骨髓浸润活性

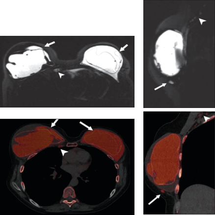
双能量硅图:硅胶假体破裂
科室负责人赵新湘主任表示,“高端CT的应用能极大程度的提升影像诊断水平,更好服务临床日常工作的同时,也希望财神捕鱼 各科室根据自身学科特点与放射科积极沟通,共同提升学科建设,促进新技术开展和临床科研的发展。”
文图:放射科