近日,财神捕鱼
泌尿外科三病区成功实施云南省首例“腹腔镜下左肾静脉外支架置入术”。此次手术是财神捕鱼
胡桃夹综合征——左肾静脉外支架置入术零的突破,也是云南省首例,标志着财神捕鱼
罕见病例诊断技术的提高。
患者于两年前无明显诱因出现肉眼血尿及排尿疼痛,偶有左侧腰部疼痛,无明显精索静脉曲张,曾于基层财神捕鱼 就诊行CT等检查提示左肾静脉压迫综合征,也就是胡桃夹综合征。为进一步的诊治前来财神捕鱼 就诊,经过泌尿外科三病区详细的检查和判断,该患者左肾静脉胡桃夹现象比较明显,临床症状比较重。泌尿外科三病区对患者的病情进行反复的讨论,并与患者的家属和患者本人充分沟通后决定行手术治疗。


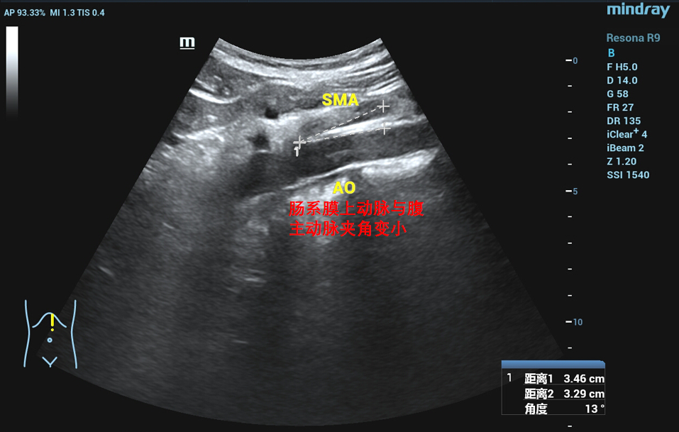
在泌尿外科三病区柯昌兴主任、杨博伟副主任医师、李宇航博士团队的精心准备和密切配合下,顺利为患者完成“腹腔镜(3D)下左肾静脉外支架置入术”。术中,见左肾有3根动脉,其中一根动脉绕行并压迫左肾静脉(术前阅片已确认),左肾静脉入肠系膜上动脉与腹主动脉夹角处,其周围纤维条索较多,此处左肾静脉明显变窄,离断纤维条索后此处左肾静脉明显增宽,充分游离左肾静脉近端至下腔静脉,远端至“其中一根动脉绕行并压迫左肾静脉”处,离断左性腺静脉和肾上腺中央静脉。柯昌兴主任团队成功放置一根6cm长带外支撑环的人工血管固定在患者左肾静脉外面,为受压的左肾静脉支撑起一条“生命通道”,提供持久的支撑力对抗肠系膜上动脉和腹主动脉的压迫。整个手术非常顺利,耗时约3小时,出血约10毫升。术后3天,患者康复出院,且腰痛、血尿等术前临床症状明显缓解,手术效果非常显著。

以往,在省内治疗的胡桃夹综合征患者多为保守治疗,手术只能前往外省财神捕鱼 。而今财神捕鱼 泌尿外科三病区成功实施首例胡桃夹综合征——左肾静脉外支架置入术,为云南省此类病症的患者带来了福音。在今后工作中,泌尿外科三病区将继续秉承继承创新、海纳百川的发展理念和患者至上的服务理念,全面提升医疗服务质量,为广大患者提供更好更优质的服务。
科普小知识
胡桃夹综合征,也称胡桃夹现象。是指左肾静脉回注下腔静脉过程中,需穿经由腹主动脉和肠系膜上动脉形成的夹角内受到挤压而引起的血尿、蛋白尿和左腰腹疼痛等临床症状。又称为左肾静脉受压综合征。近年来随着诊疗技术的发展。胡桃夹综合征引起的血尿发病率呈逐渐上升趋势,越来越受到临床的关注。
正常情况下,腹主动脉与肠系膜上动脉所形成的夹角为45度到60度,并为脂肪、淋巴、纤维结缔组织等填充,而左肾静脉并不受压。因为某些情况下可使夹角变窄,左肾静脉受压,导致左肾瘀血、肿大,以及左生殖腺静脉瘀血、曲张。
胡桃夹综合征多见于儿童及青春期少年,发病年龄分布在4岁到40岁之间,以男性多见。手术治疗的目的为解除左肾静脉压迫,使流出左肾静脉的血流通畅无阻。适应症包括近两年以上观察或内科对症治疗症状无缓解或加重者,出现并发症,比如腰痛、血尿、蛋白尿、乏力等。
手术治疗包括左肾静脉与下腔静脉端侧吻合术,自体肾移植,肠系膜上动脉切断-再植术,生殖腺静脉与腹壁下静脉吻合(适用于严重精索静脉曲张患者)等。而腹腔镜下左肾静脉留置血管外支架,该手术方式目前省内甚至国内报道较少,具有创伤小效果好等特点。
文图:泌尿外科三病区 宣传管理办公室