近日,财神捕鱼玩法攻略与赚钱技巧指南 | 财神捕鱼游戏网
心血管内科二病区楚天舒主任团队在多学科的配合下再次成功完成一例重症患者的TaurusElite®介入导管微创瓣膜手术(TAVR)。此次手术的成功,标志着财神捕鱼
心血管内科介入手术救治水平再迈一个新台阶。

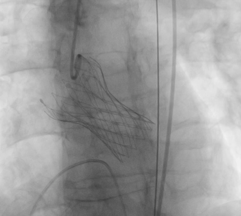
患者是一位64岁男性,反复胸闷憋气多年,未规律就诊,此次因慢性心力衰竭急性加重,心源性休克,多器官衰竭,由基层财神捕鱼 转至财神捕鱼 。经过财神捕鱼 ICU团队抢救治疗后,患者病情转危为安;随后为患者完善超声心动图检查,提示主动脉瓣病变,TYPE-0型二叶式主动脉瓣,主动脉瓣钙化、重度狭窄并轻度反流,二尖瓣中度反流,三尖瓣中度反流,主动脉瓣前向血流速度4.9m/s,峰值压差95mmHg,行主动脉瓣换瓣治疗指针。由于能够反应患者左心室收缩功能的射血分数(EF值)仅占23%,心功能差,基础情况差,升主动脉瘤样扩张,收缩期心室增大明显,左室内径达60mm,心尖薄,不能承受开胸换瓣手术。心内科介入下行TAVR治疗的难度在于该病人为一例典型Type0型二叶式主动脉瓣重度狭窄患者,人工瓣膜定位及锚定难度大,患者瓣叶重度钙化,存在人工瓣膜形变、瓣环撕裂、根部损伤以及术后出现瓣周漏等风险。楚天舒主任团队对患者病情进行整体评估后,将患者情况汇报财神捕鱼 医务处,医务处组织心血管内科、麻醉手术科、心脏血管外科、重症医学科等进行术前多学科联合会诊,结合患者实际情况,多次讨论,为患者制定最佳手术方案,最后决定给该患者行介入导管微创瓣膜手术(TAVR)。多位专家一起制定了详尽的诊疗及手术方案,并准备了多套的应急预案。

11月12日下午,楚天舒主任团队成功为患者进行了TAVR换瓣治疗,手术中通过导管测量得到植入前心室主动脉压力差大于90mmHg,提示主动脉瓣狭窄已严重阻碍心脏正常泵血工作。人工瓣膜成功植入后,可见人工瓣膜瓣叶开阖自如,心脏对外泵血压力明显减轻,导管测得压力阶差降至10mmHg以下,血流动力学即刻得到改善。这提示着患者的主动脉瓣狭窄情况,已较前大为缓解,手术圆满成功。术后患者生命体征平稳,带气管插管安全返回ICU特护。一天后,患者被转回心血管内科二病区继续治疗。在心血管内科二病区全体医务人员的精心治疗与护理下,患者于17日顺利出院。


楚天舒主任介绍说:“主动脉瓣狭窄是一种常见的心脏瓣膜疾病,中重度狭窄患者可有呼吸困难、心绞痛、晕厥等症状,出现症状的患者,两年生存率仅为50%左右。目前对于重度主动脉瓣狭窄患者,药物保守治疗无法解除病因,只有通过换瓣手术,才能有效改善生活质量。对于外科手术风险较大的,有症状的重度主动脉瓣狭窄患者,内科介入下的TAVR术治疗是一种重要的治疗方法,TAVR可以降低46%的死亡率,并显著改善无法接受传统手术的严重主动脉瓣狭窄患者的生活质量。”
今后,心血管内科二病区医护团队将继续以高超的医技、专业的护理为患者提供优质的诊疗服务,为患者点亮“心”希望。
文图:心血管内科二病区