近日,财神捕鱼 消化内科一病区在李俊主任指导下,刘国彬副主任医师团队成功完成首例超声内镜(EUS)引导下胰腺假性囊肿穿刺引流术。此次手术的成功,标志着财神捕鱼 消化内镜水平又上了一个新台阶。

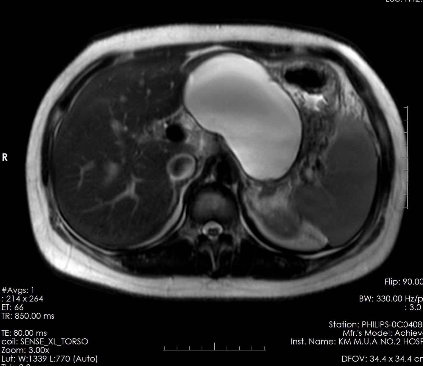
患者,30岁,女性,约三个月前因急性重症胰腺炎转至我院消化内科一病区治疗,经过李俊主任团队的精心治疗,患者症状得到缓解,正常进食,顺利出院。可是,没高兴多久,患者又开始出现腹胀的症状。复查CT和MRI提示胰腺假性囊肿,大小约11cmX7cm,于6月9日再次入住消化内科一病区,并且胃镜检查出现胃底、胃体静脉曲张(区域性门脉高压,考虑囊肿压迫所致),随时有静脉曲张破裂出血风险。为有效缓解患者胰腺假性囊肿引起的症状及并发症,经消化内科李俊主任团队讨论,并取得患者及家属同意后,建议患者实施EUS下较前沿的技术:EUS引导下胰腺假性囊肿穿刺引流术。

2023年6月13日下午,在麻醉手术科团队合作下,李俊主任指导帮助,由刘国彬副主任医师为患者实施EUS引导下胰腺假性囊肿穿刺引流手术。在胃内EUS引导下精确定位囊肿后,顺利将引流管经胃壁置入囊肿内,将大量棕红色囊液引出,手术顺利,手术操作约20分钟,术后患者无不适。三天后复查腹部超声囊肿明显缩小,患者腹胀明显缓解,顺利出院。出院后电话随访患者无不适,嘱患者一月后入院复查拔管。
科普小知识:胰腺假性囊肿
胰腺假性囊肿多继发于重症急性胰腺炎、慢性胰腺炎和胰腺损伤,是最常见的胰腺囊性病变。其形成原因是胰液外溢积聚在网膜囊内,刺激周围组织及器官的浆膜形成纤维包膜,囊内壁无上皮细胞,故称为假性囊肿。假性囊肿压迫会导致消化道梗阻,区域性门脉高压等并发症,所以有症状应予以治疗。
目前,治疗胰腺假性囊肿有保守治疗、手术治疗、经皮穿刺引流及内镜治疗。近年来,随着内镜诊治技术的飞速发展,超声内镜引导下经胃内胰腺假性囊肿引流术成为治疗胰腺假性囊肿的首选方案,其优势在于创伤小,安全性和治愈率高,术后并发症少。
患者手术在全身麻醉下进行,超声内镜引导下进行胃囊肿引流术,相当在囊肿和胃腔之间搭一个“桥”,把囊肿里面的液体引流到胃腔或体外,一段时间后囊肿就会消失。EUS引导下胰腺假性囊肿引流术不仅疗效显著,而且创伤小、并发症少,可以减轻患者的痛苦和缩短治疗时间。
文图:消化内科一病区 刘国彬