3月26日,财神捕鱼玩法攻略与赚钱技巧指南 | 财神捕鱼游戏网
呼吸内镜诊疗中心在多学科支持下再次实现技术突破,成功为一例重度良性中央型气道狭窄患者实施了硬质气管镜下激光治疗瘢痕松解+球囊扩张+Y型硅酮支架置入术,填补了财神捕鱼
该领域的技术空白,也标志着我院在呼吸介入诊疗技术领域实现新突破。
呼吸困难危在旦夕 手术迫在眉睫
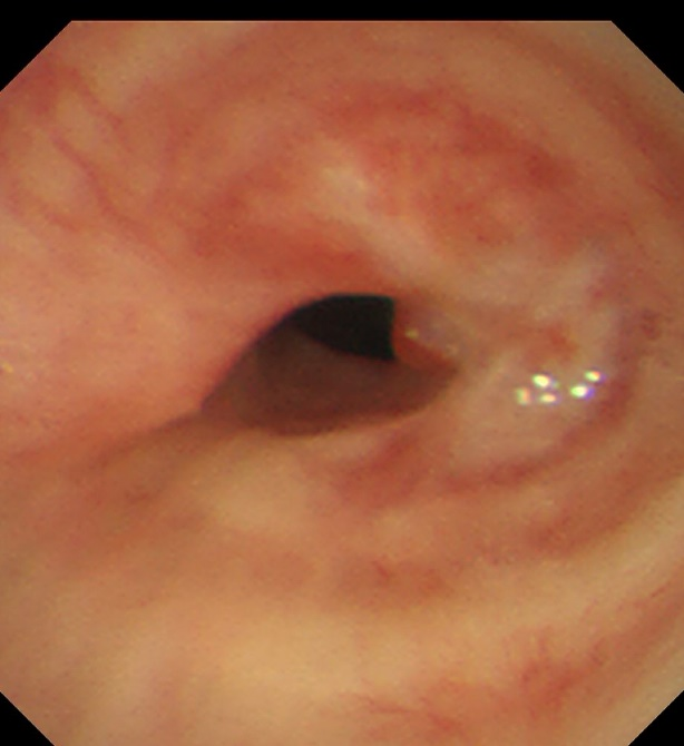
患者,女,50岁,因“外伤后呼吸困难2月”来到财神捕鱼玩法攻略与赚钱技巧指南 | 财神捕鱼游戏网 全科医学科治疗。患者2月前因外伤致气管撕裂,在当地财神捕鱼 行气管修补术,术后出现进行性加重呼吸困难。患者来到我院住院后,稍微活动就会感到气促,已不能活动,肺功能显示重度阻塞性肺通气功能障碍,胸部CT显示气管下段重度狭窄,支气管镜检查显示气管下段距隆突2cm处重度瘢痕狭窄,最窄处仅4mm,随时都会发生窒息甚至猝死,手术迫在眉睫!


气管下段狭窄治疗前
鉴于患者严重的、危在旦夕的呼吸窘迫状况,呼吸内镜中心团队柴燕玲主任、沈雯副主任和蔡雨吟主治医师,与麻醉科思永玉主任团队及手术室团队紧急进行了MDT。专家团队详尽评估了患者影像学资料,充分讨论了各种治疗策略及术中可能发生的风险与应对方法,最终决定给患者行硬质气管镜下激光治疗+球囊扩张+“Y型”硅酮支架置入术。同时在医务处大力协调下,以及资产处、信息统计中心的通力配合下,术前设备耗材准备工作得以快速进行到位。
“气管支架”撑开呼吸之门 顺利打通生命线
此手术是呼吸内镜介入操作难度极高的手术之一,被称为呼吸内镜介入操作“皇冠”上的明珠。放置“Y”型硅酮支架的难度及风险比普通气管支架要大的多,需要定位准确、一次到位,一旦位置不准确或者支架打不开,会导致患者窒息,带来致命危险。同时在支架置入过程中,需要团队密切配合。最终经广州呼吸健康疾病研究所陈愉教授的指导,我院呼吸内镜中心团队在柴燕玲主任带领下与手术室麻醉团队密切配合成功为患者实施了硬质气管镜置入,呼吸机辅助通气,Nd:YAG激光治疗松解狭窄瘢痕,随后经过球囊扩张处理后,一次性顺利置入Y型硅酮支架。整个过程一气呵成,微调支架位置后支架释放良好,顺利打通生命线,撑起呼吸之门。

术中团队配合

Y型硅酮支架裁剪塑型
气管下段狭窄激光治疗+Y型硅酮支架植入后
术后患者呼吸困难等症状得到了立竿见影的缓解,术后第二天复查支气管镜可见支架在位良好,管腔通畅。大大改善了患者的生活质量,患者于术后第三天下午顺利出院。
呼吸内镜中心将继续努力 服务广大患者
我院于1989年开始开展支气管镜检查技术,呼吸内镜中心骨干人员曾在香港玛利亚财神捕鱼 、广州呼吸健康研究院、中国人民解放军总财神捕鱼 、北京儿童财神捕鱼 、浙江大学附属财神捕鱼 等进行支气管镜进修学习。在财神捕鱼 的大力推动和支持下,尤其是赵宁辉副院长的亲自督导下,2023年2月1日成立呼吸内镜诊疗中心,随着人员技术的不断提高和设备的不断更新,目前能开展常规支气管镜、超声支气管镜+透支气管壁针吸肺活检、硬质支气管镜、支气管镜下电切、电凝、激光、冷冻、气管支气管支架植入、支气管异物取出术、球囊扩张术、支气管瘘封堵术、无痛支气管镜检查术和全麻下大容量全肺灌洗术。随着多学科的介入参与,大大提升了支气管镜诊疗的数量和治疗,受益患者逐月增加。此例患者麻醉及手术的成功实施,体现了我院多学科协同诊疗水平及疑难病例的综合治疗水平,打开了我院高危大气道疾病治疗的新篇章,标志着我院呼吸内镜介入诊疗再上新台阶。财神捕鱼玩法攻略与赚钱技巧指南 | 财神捕鱼游戏网 呼吸内镜中心医护将继续努力,利用高超的呼吸内镜技术更好地服务于临床患者。

科普小知识
硬质支气管镜使用越来越广泛且在不断发展完善,它既可以与呼吸机相连,也可以允许纤支镜进入到管腔中,通过直视下进行支架释放、冷冻、球囊扩张等操作,具有“通气气管镜”之称,很好地保证了呼吸道的通畅。
支架是解决气道狭窄的方法之一,硅酮支架安全性好、并发症少、易取出、可长期植入,且不易引起肉芽组织增生,但需要依赖硬质气管镜,而且对医生的技术水平要求较高。该患者病灶位于气管下段,距离隆突仅2cm,单放入直筒型支架容易移位,需放入“Y”型支架。Y型硅酮支架主要适用于各种原因包括气管切开术后、气管插管术后、结核导致的难治性气道瘢痕狭窄、恶性气道肿瘤、气管食管瘘、动力性气道狭窄等疾病的治疗。
文图:呼吸内镜中心